
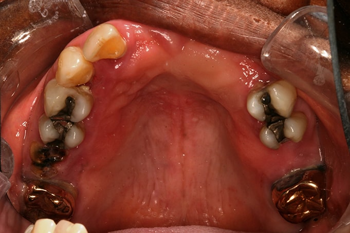
“It sucks having bad teeth,” he said. “Really sucks.”
He doesn’t have bad teeth, Terry has horrific teeth. The kind of teeth you have to look away from when he talks.
“And I lost another one a few weeks ago.”
“What? Couldn’t afford a crown?”
“Right. Crown and root canal was gonna be over a grand.”
“Too bad,” I said.
“You know what it’s like having bad teeth?”
“Yes,” I said. “You’ve told me too many times.”
“I can’t eat much meat and……”
“…..crunchy stuff and hard stuff. Crunchy vegetables. It’s all got to be soft. Soft meats. Yeah, like I said, you’ve told me too many times.”
“It affects my quality of life,” Terry said. “I can’t even go to a restaurant and order steak.”
I cut off his pleas for an understanding of his dental misfortunes. I finished with his brand of understanding a long time ago.
“You still brushing?” I asked.
We were walking around the flea market where you can buy just about any sort of cleaning or hygiene product ultra-cheap. There’s bins upon bins of it. Of course, there’s no guarantee of the quality or where it came from but the bottom line is that it’s all cheap.
“Yeah,” Terry said. “I’m brushing.”
“Same as before?”
“No. I bumped it up to once every two weeks. That’s probably the average.”
“That’s not gonna help,” I said.
I wondered why I was even telling him. He already knew. We both knew that we knew. He just wanted to drag me into his idiocy and it was working again, this perverse variety of engagement.
“You got no empathy and can’t even give me credit,” he said. “Once every two weeks is better than once every three. If you’re gonna dismiss my hard times and hard luck you can at least acknowledge my progress.”
Maybe he was right. I’m cheap, even when it comes to handing out credit. On the other hand, I don’t find myself trying to peddle much that’s supposed to make somebody else fork over much credit in return.
“There’s no progress,” I said. “You’re gonna be down to no teeth and eating baby food soon.”
“That’ll be terrible, won’t it?”
I was starting to understand that what Terry was peddling in return for credit – his bi-monthly tooth brushing – was cheap junk just like the outdated deodorants and generic aspirins being peddled at the market.
“Will it?” I asked. “Seems you’re doing and have been doing everything possible to make it happen. I see a lot of bananas in your future.”
“And you won’t be sad for me?”
It had taken a long time to get the point with Terry – a lot of attempts and efforts at understanding and persuasion and empathy and sympathy – all of it tossed to the wind – it had taken a long time to become the person who so callously told him, “No.”
” But I brush a lot more now. I told you.”
“You brush every two weeks. It’s better than nothing but not much better. You get me?”
“No,” he returned.
It wasn’t that Terry couldn’t comprehend it, it was that he didn’t want to try. He didn’t want to put any more effort into understanding himself than he put into his oral hygiene.
“Okay. Fifty cents is better than ten. But it’s a lot worse than fifty bucks. You’re not getting much of anything with ten or fifty cents. There’s a difference, sure – a five fold difference between ten and fifty cents – but it doesn’t amount to much of anything. Hell, you can’t even buy a candy bar for fifty cents.”
“You can here,” Terry said.
And that was true. You can buy a fifty cent candy bar that’s well past its expiration date. Or one that was packed on a pallet with boxes of a lot of other junk that got stolen off a truck. Or one that’s been repeatedly melted in the sun and reconstituted over the course of a week to make its reappearance in the sun the next weekend – you can buy one of those candy bars at the flea market for fifty cents, maybe even a quarter.
“That’s fair. But you get my point?” I asked. I asked while simultaneously and wearily thinking, what’s the fucking point? what is the fucking point, ever?
I waited for a response, then asked, “You still drinking regular Coke?”
“Lotsa Cola.”
“C’mon,” I said. “Regular or diet? I don’t care if it’s the cheap shit or not. Regular or diet?”
“Regular. But you can’t expect me to give up everything,” Terry said. “I got to have a few pleasures left. Heck, Lotsa is bad enough compared to Coke. And you’d have me drink diet on top of that?”
“For fuck’s sake,” I said.
“What? You got no guilty pleasures?” he asked.
I conceded.
“Stop, Terry. Just stop.”
This conciliation invigorated my childhood friend. He thought he’d attained a victory in our battle of ideas when, in fact, I simply conceded, knowing I’d been backed into a corner, obstructed in every direction by his rising mounds of bullshit.
“You just got lucky.,” he said. “You were blessed with good teeth and you probably take beef jerky for granted. You know how long it’s been since I had beef jerky? You know I’ll probably never eat jerky again in my life? And jerky’s delicious, man. Think about that.”
“Sorry,” I said. “But there’s Slim Jims, at least. Granted, they’re not as good but they’re not as tough either.”
He had a point about his jerky tragedy and jerky’s delectability. But that’s where I had to be careful with a guy like Terry cause underneath the truth and sentiment, I had to understand this twisted tactic as well – this tactic of making his misfortunes about my fortunes and, my being so self-absorbed, taking my fortunes for granted at the expense of offering him the sympathy he deserves. I’d dealt with it all before. I’ve dealt with way too much of it – with him and everybody and everywhere else. I’ve dealt with it enough to know just how much the game stinks.
“Yeah, but guys like you are lucky enough to get both,” he said. “But I’m stuck. No jerky. No nuts. No raw apples. It’s like being orally castrated.”
“Literally and metaphorically,” I snickered. “Maybe no nuts in the old pie hole isn’t a bad thing.”
“It isn’t funny. I mean like peanuts and cashews, asshole. You know how rough it is eating cashews? And cashews are awesome.”
“There’s cashew butter,” I said.
“That stuff’s expensive,” he said. “I admit to drinking cheap cola and then you turn around and say that? That’s insulting, man. That’s down the fancy, organic aisle where guys like you shop and guys like me see it as a foreign country.”
I thought about suggesting how the oral hygiene aisle might be foreign territory for Terry too, but I didn’t.
“I shop at places like this too,” I said. “Obviously.”
“A man of contradictions,” Terry said. “A very complicated man.”
“Hey, I earned my cashew privilege by taking care of my teeth,” I said. “Don’t try to make me feel guilty. You made your bed, man. If you want somebody to sugarcoat your situation, you’re gonna have to take it elsewhere.”
“You can admit that the older ya get the worse your teeth get. That’s a fact, right?”
“Yeah, but we’re less than a year apart and my teeth are just fine. Your condition’s got nothing to do with age.”
“Genetics,” he said. “My Dad had bad teeth too.”
“Did he take care of them?”
“Well, no,” Terry said.
“So there’s multiple common, potential causalities, right? The question becomes why you focus on one at the exclusion of the other – the one that takes your own decisions out of the equation.”
“You won’t give me an inch? I thought you were a true friend,” Terry said.
“What good’s it gonna do?”
“Make me feel better, at least.”
“And that’s what it’s all about, right? Making you feel better about fucking up your teeth and not being able to eat fried chicken or steak.”
“It ain’t just fried chicken, it’s women.”
Yeah. I knew there weren’t many women that would sign on for those teeth. I was starting to feel cruel.
“You know, you never wanna give me credit,” he said. “I look into the mirror – I confront my smile. I see it for what it is. I don’t try to pretend it’s otherwise. I accept it for exactly what it is. I accept myself for exactly what I am. Flawed morally and physically. I get what I am.”
Terry doesn’t know what the fuck he is. That’s the problem. And the bigger problem is he doesn’t know that and even if he did, he wouldn’t want to. And I’d heard that mirror sermon dozens of times too. That plea for an understanding of his humility and self-awareness. A stunted self-awareness that’s chronically prohibited him from seeing how he’s fucked himself over with his laziness of finances and oral hygiene and, in turn, any opportunity for decent relationships – romantic or otherwise. I wanted to say it’s good to see the problem of his teeth, but there’s a bigger picture – a bigger reflection in that mirror than just the teeth – and that’s the even bigger problem – the problem of not seeing more and, moreover, the stubborn commitment to never wanting to see more.
“You don’t understand, man. I don’t have the coin for dentures either. The rest of these babies go and I’m down to nothing.”
“Whose fault is that? About the money and your teeth? I mean, I’ve heard all this before. How’s talking about it again gonna make it any better?”
“You got no heart and it’s cause you think I’m a loser. Well, I’ll have you know I was at least married once. And I got a house. That’s more than some people’ve had.”
Terry likes trying to shame me with the fact that I’ve never been married. Funny how the proclamation itself used to put me on my heels.
“Most everybody’s been married,” I said. “And most people pay rent or have a mortgage, just like most people got a few bucks in their pocket too. None of it makes any of us special.”
We walked past the Chinese food booth on our way to where they sold hamburgers and steak and sausage sandwiches. I remembered the time I ordered steak sandwiches for us – 2 for $7. I wanted steak and rationalized Terry might too since it was the most expensive thing on the board and I was paying. I remember how Terry struggled with his. I knew it was embarrassing. He had to chew and rip at his like it was a hunk of raw leather, all the while probably afraid of yanking out another tooth right there at the market. I should have known better than ordering steak sandwiches from a flea market stand that day.
I stepped up to the the booth.
“Can I help you?” the girl asked.
“Two giant sausages sandwiches,” I said. “And one large fry.”
“Everything on the sandwiches?”
“Yeah, everything on both,” I said.
Terry said, “I’ll pay you back next time.”
I knew he wouldn’t but that would be okay. I wouldn’t hold it over him.
“No worries,” I said. “I got this one covered.”
We got our food and sat at a picnic table, in the shade under an umbrella.
“You paid for lunch so I guess you got the right to lecture,” Terry said.
“Nah,” I said. “It’s just that your teeth are all on you. It’s got nothing to do with me. Nothing at all. Never has. Never will. Sorry but it seems to me that’s something worth understanding. Really understanding.”
Like I said, there’s sympathy and empathy or whatever and I don’t want to be the opposite of any of that. But there’s people that try dragging you into their nonsense. They try coercing you into giving their nonsense real consideration under the guise of sympathy or empathy and I’ve come to understand it’s a dirty goddamned trick. Sometimes I play along for the sake of courtesy but when I’ve heard too much – when my plate gets piled too high with too much of it – when my reason and consciousness have played rope-a-dope for too long, I either take a stand or simply walk away from it. There has to be a breaking point. Otherwise, your will and reason turn to mush like the mind of an old fighter that’s taken too many headshots.
Terry bit into the sausage. He seemed to be having an easier time than with that steak.
I bit into mine too.
“Remember when we were kids and would go the county fair?”
“Of course,” I said.
“Remember The Scrambler and…….
“……and the candy apples,” I said.
“Why you always doing that?” Terry asked. “It’s rude.”
I finished chewing.
“Cause sometimes you gotta be rude to make a point. You gotta be rude when somebody else never gets the point. Like asking them politely to not let their dog shit in your yard. If they continue to do it, then it’s time to get rude, though I’d say they’re the ones being rude.”
“Why is it you never wanna talk about the past?” Terry asked.
“Because I already know about it.”
“You don’t find it entertaining? You don’t take pleasure in reminiscing?”
“No,” I said. “Absolutely not.”
“That’s kinda weird. I gotta say – kinda weird. For me, it’s like coming here and plucking through the junk. Sometimes we find something we both had – like a wrestling figure we both had as kids. Something that gave us both pleasure back then for reasons that not everybody else might understand unless they know more of the story. But we know the story. Those are our shared memories and those memories contain who we were. They’re something unique to us and between us. I find it weird that you don’t take any pleasure in that at all.”
“Finding that thing here’s a surprise. It’s a cool, novel surprise,” I said. “There’s no surprise in what we already know. Besides, most of it’s just trivial anyway. My Macho Man doll wasn’t a big deal. No bigger a deal than your sister’s Barbies were to her.”
“But it was a big deal to you. And a big deal to me,” he pleaded.
“Exactly. Things that weren’t big deals – no bigger deals than your sister’s Barbie – that seem like big deals to us. So let’s treat them for what they are, okay? Let’s not glorify the trivial just because there’s nothing else to glorify.”
“Then what do we glorify?”
“If there’s nothing deserving it, then maybe nothing.”
“Ah, so your mind’s always on such high-minded things? Your mind’s too elevated to be soiled by the trivial. Indeed, you are a very complicated man.”
My mind’s too elevated to be soiled by the notion that brushing my teeth twice a month might be every bit as good as twice a day. It’s unfortunate sometimes that in chucking that sort of idiocy – it’s sort of a baby with the bathwater situation. Cause if I give Terry an inch of good grace in my consciousness with his carnival rides and wrestling dolls, I’ve had the experience to know that it’ll be a green light for two feet of his bullshit about the plight of his teeth next time, with wrestling dolls and candy apples being footholds for easing into 24 inches of nonsense.
“No,” I said. “It’s just that people share a lot of things not worth sharing. We’ve both probably taken a shit today. Doesn’t seem like something worth sharing.”
“It’s just weird,” Terry said. “It’s like you’re too good for our past.”
“You can’t understand how I can’t find what you find entertaining? Well, guess what, I hate your rap as much as you hate Waylon Jennings but I don’t have a problem with your hating mine. And I have no problem understanding it.”
“There’s something wrong with you.”
“For choosing Waylon over Tupac?”
“No. The other stuff. The past.”
I understood the desire for Terry to wallow in a more pleasant past when he had a full set of teeth. When he could easily eat whatever he wanted and the girls still thought he was cute.
“Why?” I asked. “What’s the point about talking about a movie we both know inside and out? You reveal to me some detail about Star Wars that I already know cause we’ve both seen Star Wars a dozen times. I don’t need anybody telling me the story because I already know it. I don’t need anybody trying to keep me stuck in the past. And if I want or need to know more, I’ll watch it. I mean, I’m sorry if this is cruel but actually watching a blockbuster film is a helluva lot more exciting than anybody’s detailed description of it. I’m sorry – I guess – that that’s the nature of my reality. So what’s the point in jabbering about what we already know? Instead, how about we watch – not talk about – a new movie? Shit, there’s thousands of them around here for just a buck. And if we’ve moved on from movies cause neither of us are teenagers any more – what if we move on to something completely different. We’re adults now. We can do that.”
“I was trying to move on,” Terry said. “I’m always trying to move on with you.”
“How?” I asked. I was sincerely curious.
Terry bowed his head, slumped his shoulder and made a big sigh.
“By talking about my teeth. It’s what’s happening now. It’s important to me but you keep blowing it off.”
Terry has always been a crafty fella.
I took another bite of my sandwich, weighing whether or not we should go down the road of the real quality of Terry’s life. That the reason he wanted to talk so much about those teeth and county fairs was because there was nothing else going on with him. Nothing more than those godawful teeth and his dusty memories. In fact, if his teeth weren’t so outside the norm, I wondered if he could talk about much of anything else but the past – a past that, having experienced much of it directly myself, even I find much of it boring so how the hell’s anybody outside the experience gonna be expected to buy into it? And other than that, for Terry, there was no woman, no job, no nothing. And that was a huge quality of life problem. A bigger goddamned problem than just his teeth. But I’d had enough. I took another bite of sausage and warm, soft and steamy peppers and onions.
“Pretty good,” I said. “What do you think?”
“Yeah,” he said. “Pretty good.”
I said that about the sausage, hoping in months or years, we wouldn’t have to rehash how good our sausage sandwiches were. If I remembered that they were good, then there’d be no use in reminiscing. Good’s good – that’s it. If I don’t remember, then I’m okay with the idea that it wasn’t something worth remembering. Plenty of things are just as good as flea market sausage sandwiches. Plenty of things I forget about that are even better, like what the woman I love was wearing on our first date. I forget lots of things. Lots of things far more important than sandwiches so reserving a spot for the trivial seems silly and stupid. Stupid unless you’re a stupid person, not unlike Terry, who, in spite of it all, I still try – much harder than he imagines – to be a friend to.
Plus, neither sausage sandwiches nor candy apples seem like very interesting topics of conversation – so much so that I’ve never thought before this, man, I wish there was somebody around to talk about sausage sandwiches or candy apples. I’ve never had that thought until now and, honestly, hope to never have a serious form of that thought ever again. But maybe Terry will. There’s a good change he will and he’ll want to talk about it. And next time, maybe we will and maybe we won’t talk about it but by then he’ll probably have lost a few more teeth, regardless.
